Contents

SynopsisCodesLook ForDiagnostic PearlsDifferential Diagnosis & PitfallsBest TestsManagement PearlsTherapyDrug Reaction DataReferences

View all Images (13)

Potentially life-threatening emergency
Acute cholecystitis
Other Resources UpToDate PubMed
Potentially life-threatening emergency

Acute cholecystitis

Contributors: Audrey G. Herbert MD, Laura Wallace MD, Paritosh Prasad MD, Sara Manning MD
Other Resources UpToDate PubMed

Synopsis

Emergent Care / Stabilization:
Late or complicated presentations of acute cholecystitis can require care for sepsis, including intravenous (IV) line placement, antibiotic administration, and fluid resuscitation and/or pressor initiation, as appropriate.

Symptomatic management with analgesics and antiemetics should be provided, and surgical consultation should be initiated.

Diagnosis Overview:
Acute cholecystitis is a surgical emergency of the biliary tract that can be life-threatening if appropriate treatment is not initiated promptly. Acute cholecystitis is characterized by gallbladder wall inflammation. Patients classically present with right upper quadrant (RUQ) abdominal pain, fever, and leukocytosis. Acute cholecystitis is further categorized by the presence of gallstones as calculous or acalculous.

Acute calculous cholecystitis: Constitutes 90%-95% of all cases. Gallstones obstruct the cystic duct, resulting in acute dilation and inflammation of the gallbladder wall. There are 2 primary types of gallstones:
  1. Cholesterol gallstones – Approximately 75% of all gallstones in the United States and Europe.
  2. Pigmented gallstones – Made of calcium bilirubinate and calcified bilirubin. This type of gallstone can be either black or brown. Black stones comprise approximately 20% of all gallstones and are found in patients with chronic hemolytic anemia, Gilbert syndrome, liver cirrhosis, or cystic fibrosis. Brown gallstones are more common in the Asian population, and they develop in the setting of chronic biliary tract infection such as parasitic infections.
Acute acalculous cholecystitis: Constitutes 5%-10% of cholecystitis. Associated with critical illnesses such as trauma, burns, severe sepsis, diabetes, immunosuppression, HIV infection, recent nonbiliary surgery, parenteral nutrition, and childbirth. There is a 25%-40% mortality rate, higher than for calculous cholecystitis. Acute acalculous cholecystitis is most commonly identified in critically ill patients and older men.

Pathophysiology of acute cholecystitis: About 10%-15% of the general US population has gallstones, with the highest prevalence seen among individuals with American Indian ancestry and individuals with Hispanic ethnicity from Central and South America.

In most people, gallstones are asymptomatic. Biliary colic develops in 1%-4% of patients annually, and acute cholecystitis eventually develops in about 20% of patients with symptomatic gallstones if an elective cholecystectomy is not performed. The presence of gallstones alone is not predictive of acute cholecystitis. However, patients who are symptomatic from gallstones should consider cholecystectomy to prevent future development of acute cholecystitis.

Acute calculous cholecystitis occurs when a gallstone blocks the cystic duct, impairing gallbladder drainage. Temporary obstruction can cause biliary colic. Sustained obstruction can result in gallbladder dilation, wall inflammation, subsequent wall thickening, and pericholecystic fluid accumulation.

In early stages, gallbladder inflammation is sterile; however, secondary infection develops in most patients. Enteric organisms are most common, including Escherichia coli, Klebsiella, and Streptococcus faecalis.

Demographics and risk factors of acute cholecystitis:
Sex – Women are more likely to develop gallstones because of higher estrogen levels. For the same reason, pregnancy and hormone replacement therapy increase the risk of gallstones. Approximately 25% of women older than 60 years have gallstones. Cholecystitis develops in women more frequently due to the relative prevalence of gallstones.

Age – Gallstone incidence increases with age. Gallstones are unusual in children. In cases when they occur, they are commonly pigment stones. The following conditions put younger people and children at a higher risk of having gallstones:
  • Spinal injury
  • History of abdominal surgery
  • Sickle cell disease
  • Impaired immunity
  • IV nutrition
Race and ethnicity / geography – Gallstones are associated with fat and cholesterol. Incidence varies in different populations and from country to country based on diet and other factors, but is historically high in the US and Europe.

Obesity and weight changes – In obesity, the liver overproduces cholesterol, which increases the risk of gallstone formation. Rapid weight loss is also a risk factor for the development of cholesterol gallstones. As such, gallstones are frequently observed after bariatric surgical procedures.

Pregnancy – Increase in cholesterol saturation of bile and impaired gallbladder contraction during pregnancy predispose to formation of cholesterol stones or biliary sludge.

Genetics – Having a family member with gallstones increases one's risk. Mutations of gene ABCG8 increase the risk of gallstone formation.

AIDS – Biliary disease occurs via 2 mechanisms in patients with AIDS:
  • Acute acalculous cholecystitis
  • AIDS cholangiopathy (commonly due to Cryptosporidium or cytomegalovirus)
Drugs – Many drugs increase the formation of gallstones and hence the incidence of cholecystitis. Examples include GLP-1 analogues, fibrates, oral contraceptive pills, estrogen, thiazides, ceftriaxone, and octreotide.

Ascariasis – This is a geographical risk factor in regions of China and Southeast Asia. Ascariasis can cause cholecystitis, cholangitis, hepatic abscess, or pancreatitis.

Clinical manifestations of acute cholecystitis:
RUQ pain – Can be episodic or sustained, severe, and located in the RUQ or epigastrium that can radiate to the shoulder or back. Exacerbated by eating, particularly fatty meals, and at night. Pain from biliary colic is generally episodic, while acute cholecystitis is classically accompanied by prolonged episodes of pain.

Physical examination findings – Tenderness and guarding in the RUQ and Murphy's sign.

Murphy's sign –
  • Arrest in inspiration while palpating the gallbladder during a deep breath.
  • Sensitivity of 50%-60% and a high specificity of up to 79%-96%.
Frequently associated symptoms include fever, nausea, and vomiting.

Related topic: chronic cholecystitis

Codes

ICD10CM:
K81.0 – Acute cholecystitis

SNOMEDCT:
65275009 – Acute cholecystitis

Look For

Subscription Required

Diagnostic Pearls

Subscription Required

Differential Diagnosis & Pitfalls

To perform a comparison, select diagnoses from the classic differential

Subscription Required

Best Tests

Subscription Required

Management Pearls

Subscription Required

Therapy

Subscription Required

Drug Reaction Data

Subscription Required

References

Subscription Required

Last Reviewed:03/27/2024
Last Updated:04/09/2024
Copyright © 2025 VisualDx®. All rights reserved.
Potentially life-threatening emergency
Acute cholecystitis
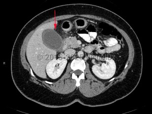
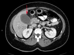
Imaging Studies image of Acute cholecystitis - imageId=7878656. Click to open in gallery.  caption: '<span>CT scan of the abdomen demonstrating distended gallbladder with wall thickening and inflammatory changes in the surrounding fat.</span>'
CT scan of the abdomen demonstrating distended gallbladder with wall thickening and inflammatory changes in the surrounding fat.
Copyright © 2025 VisualDx®. All rights reserved.