Contents

SynopsisCodesLook ForDiagnostic PearlsDifferential Diagnosis & PitfallsBest TestsManagement PearlsTherapyDrug Reaction DataReferences

View all Images (9)

Ovarian cancer
Other Resources UpToDate PubMed

Ovarian cancer

Contributors: Mary N.W. Towner MD, Mitchell Linder MD
Other Resources UpToDate PubMed

Synopsis

Ovarian cancer most commonly refers to a cancer of the epithelial lining of the ovary, although stromal or germ cell malignancies are also possible. Ovarian epithelial cancer is closely related to fallopian tube and primary peritoneal cancers, both in how they develop and how they behave.

In the United States, ovarian cancer is the deadliest gynecologic malignancy, resulting in more deaths than uterine and cervical cancers combined. It is the second most common gynecologic malignancy.

Ovarian cancer can develop at any age, although it is most common in postmenopausal women, with an average age at diagnosis in the mid-60s. Women of Northern European descent are more likely to develop ovarian cancer, although women of African descent are more likely to die of the disease. The prognosis for women with stage III or IV mucinous ovarian cancer, a rare subtype of ovarian carcinoma, is poorer than the prognosis for women with other subtypes.

Risk factors for ovarian cancer are usually related to frequency and duration of ovulation. Early menarche, late menopause, and nulliparity have been associated with increased risk for ovarian cancer. Factors that decrease the risk of ovarian cancer are those that provide a respite in continuous ovulation, such as pregnancy, breastfeeding, and use of oral contraceptives.

Patients may have a genetic predisposition to development of ovarian cancer. For example, patients with a mutation in the BRCA1 gene have up to a 46% risk of ovarian cancer by age 70, while those with a mutation in the BRCA2 gene have up to a 27% risk. Lynch syndrome (hereditary nonpolyposis colorectal cancer) is an autosomal-dominant syndrome that increases the risk of ovarian cancer, in addition to being associated with endometrial, colorectal, intestinal, or renal cancers.

Patients with ovarian cancer are usually diagnosed with advanced disease, as the symptoms are often dismissed or overlooked by the patient and/or provider.

Codes

ICD10CM:
C56.9 – Malignant neoplasm of unspecified ovary

SNOMEDCT:
363443007 – Malignant tumor of ovary

Look For

Subscription Required

Diagnostic Pearls

Subscription Required

Differential Diagnosis & Pitfalls

To perform a comparison, select diagnoses from the classic differential

Subscription Required

Best Tests

Subscription Required

Management Pearls

Subscription Required

Therapy

Subscription Required

Drug Reaction Data

Subscription Required

References

Subscription Required

Last Reviewed:09/28/2017
Last Updated:01/25/2022
Copyright © 2025 VisualDx®. All rights reserved.
Ovarian cancer
A medical illustration showing key findings of Ovarian cancer : Abdominal pain, Nausea/vomiting, Pelvic pain, Pleural effusion, Urinary frequency, Dyspnea, Adnexal mass on pelvic exam
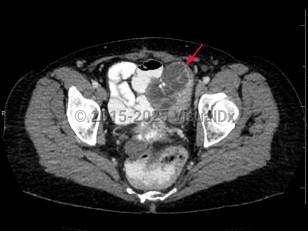
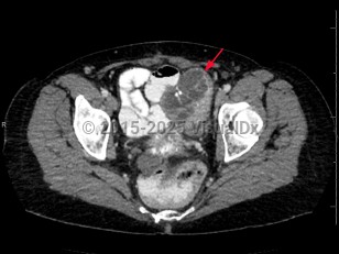
Imaging Studies image of Ovarian cancer - imageId=6846725. Click to open in gallery.  caption: '<span>Axial CT image demonstrates a  large, heterogeneous, partially solid, and cystic mass involving the left  adnexa. Biopsy results were consistent with ovarian carcinoma.</span>'
Axial CT image demonstrates a large, heterogeneous, partially solid, and cystic mass involving the left adnexa. Biopsy results were consistent with ovarian carcinoma.
Copyright © 2025 VisualDx®. All rights reserved.