Contents

SynopsisCodesLook ForDiagnostic PearlsDifferential Diagnosis & PitfallsBest TestsManagement PearlsTherapyReferences

View all Images (3)

Cryptorchidism
Other Resources UpToDate PubMed

Cryptorchidism

Contributors: Joshua Caldwell MD, Paritosh Prasad MD
Other Resources UpToDate PubMed

Synopsis

Cryptorchidism is a condition in which one or both of the testes fail to completely descend into the scrotum before birth. This condition is the most common disorder of sexual differentiation in males, occurring in as many as 3.7% of live births. However, by 3 months of age, many cryptorchid testes will have descended, and the prevalence without intervention at 3 months is approximately 1.0%.

There has been some research in recent decades indicating an increased rate of cryptorchidism along with hypospadias – another of the most common congenital disorders of the urogenital system. This data, which seems inconsistent across the United States, is thought to be related to both demographic changes and increased exposure to chemicals causing endocrine disruption.

The pathogenesis of this condition is thought to be variable, although it is often related to a failure of the pituitary-gonadal axis in late gestation with an absent luteinizing hormone (LH) surge or a blunted testicular response. Other genetic defects can cause a failure of descent, although the exact mechanisms for the regulation of testicular descent have not yet been elucidated.

What is clear, however, is the general timeline for testicular descent, which proceeds in 2 phases. First, the testes migrate transabdominally during the first trimester and, by the 25th week of gestation, are usually located at the internal ring of the inguinal canal. The second phase, inguinoscrotal migration, requires androgenic signaling and is usually complete by 30 weeks. For this reason, premature males are at greatly increased risk of failed migration. Clearly identified risk factors for cryptorchidism include:
  • Low birth weight (the most significant risk factor – infants < 900 g have a nearly 100% chance of cryptorchidism)
  • Low gestational age (approximately 30% of premature infants will be born with at least one undescended testis)
  • Twin births
  • In-utero exposure to known endocrine disruptors such as diethylstilbestrol (DES) and some pesticides
Although cryptorchidism is most frequently an isolated finding, there are a number of associated health problems such as:
  • Patent processus vaginalis in 90% of boys with an undescended testis
  • Infertility risk is doubled in untreated unilateral undescended testis and may be as high as 35% in bilateral cases.
  • Testicular cancer – The relative risk of testicular cancer is 2.75-8 if uncorrected, 2-3 in patients who undergo orchiopexy by age 10-12, and 2-6 higher in patients who have a postpubertal orchiopexy as compared to those who undergo the procedure prepubertally. Uncorrected cryptorchid testes are at significantly higher risk for the development of a seminoma, while corrected testes more frequently develop nonseminomatous neoplasia.
  • Prune belly
  • Bladder exstrophy
  • Intersex states
  • Neural tube defects
  • Cerebral palsy

Codes

ICD10CM:
Q53.9 – Undescended testicle, unspecified

SNOMEDCT:
204878001 – Undescended testicle

Look For

Subscription Required

Diagnostic Pearls

Subscription Required

Differential Diagnosis & Pitfalls

To perform a comparison, select diagnoses from the classic differential

Subscription Required

Best Tests

Subscription Required

Management Pearls

Subscription Required

Therapy

Subscription Required

References

Subscription Required

Last Reviewed:08/28/2018
Last Updated:01/12/2022
Copyright © 2025 VisualDx®. All rights reserved.
Cryptorchidism
A medical illustration showing key findings of Cryptorchidism : Present at birth
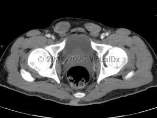
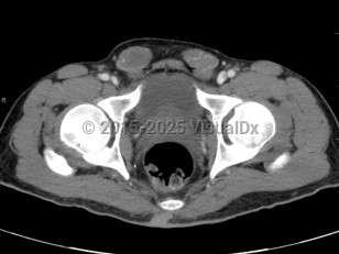
Imaging Studies image of Cryptorchidism - imageId=7904911. Click to open in gallery.  caption: '<span>Axial CT image demonstrates  bilateral extrascrotal testes, located in the inguinal canal. Findings  consistent with cryptorchidism.</span>'
Axial CT image demonstrates bilateral extrascrotal testes, located in the inguinal canal. Findings consistent with cryptorchidism.
Copyright © 2025 VisualDx®. All rights reserved.