Contents

SynopsisCodesLook ForBest TestsDrug Reaction DataReferences

View all Images (16)

Pneumomediastinum in Adult
Other Resources UpToDate PubMed

Pneumomediastinum in Adult

Contributors: Paritosh Prasad MD, Ryan R. Walsh MD, Joshua J. Jarvis MD, Alastair Moore MD
Other Resources UpToDate PubMed

Synopsis

Pneumomediastinum is the presence of air in the mediastinum. It is caused by injury, most often esophageal or intestinal perforation. It is also seen as a result of aggressive bag-valve mask ventilation during resuscitation and intubation as well as a result of barotrauma in intubated patients.

Codes

ICD10CM:
J98.2 – Interstitial emphysema

SNOMEDCT:
16838000 – Mediastinal emphysema

Look For

Subscription Required

Best Tests

Subscription Required

Drug Reaction Data

Subscription Required

References

Subscription Required

Last Updated:04/23/2019
Copyright © 2025 VisualDx®. All rights reserved.
Pneumomediastinum in Adult
A medical illustration showing key findings of Pneumomediastinum : Neck pain, Pleuritic chest pain, Subcutaneous emphysema, Dysphagia, Dysphonia, Dyspnea, Dry cough, Stridor
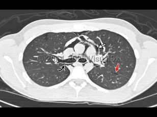
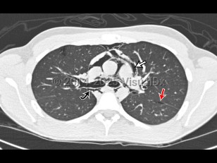
Imaging Studies image of Pneumomediastinum - imageId=6835520. Click to open in gallery.  caption: '<span>18 yo male with gradual onset chest pain. No clear precipitating event or trauma. Axial CT image of the chest demonstrates extensive mediastinal air outlining the heart, great vessels (straight white arrow), central bronchi (curved black arrow), and tracking into the neck. Interstitial emphysema is also seen (straight red arrow).</span>'
18 yo male with gradual onset chest pain. No clear precipitating event or trauma. Axial CT image of the chest demonstrates extensive mediastinal air outlining the heart, great vessels (straight white arrow), central bronchi (curved black arrow), and tracking into the neck. Interstitial emphysema is also seen (straight red arrow).
Copyright © 2025 VisualDx®. All rights reserved.