Contents

SynopsisCodesLook ForDiagnostic PearlsDifferential Diagnosis & PitfallsBest TestsManagement PearlsTherapyReferences

View all Images (4)

Meckel diverticulum
Other Resources UpToDate PubMed

Meckel diverticulum

Contributors: Michael W. Winter MD, Nishant H. Patel MD, Desiree Rivera-Nieves MD, Khaled Bittar MD
Other Resources UpToDate PubMed

Synopsis

A Meckel diverticulum is a remnant of the omphalomesenteric duct in the distal ileum. Patients with a Meckel diverticulum typically present with painless hematochezia and/or bowel obstruction. Alternatively, a Meckel diverticulum should be considered if an abdominal mass is detected or in cases of abdominal pain, often right lower quadrant, of unclear etiology.

Meckel diverticulum is congenital; there is no known genetic predisposition. Most typically, bleeding from a Meckel diverticulum occurs in children, often younger than 2 years. However, a Meckel diverticulum can be diagnosed at any age, and it can be an incidental finding on abdominal surgery.

A Meckel diverticulum can predispose patients to intussusception, ulcer formation, bowel inflammation, perforation, or foreign body entrapment, all occurring at the diverticulum.

The acuity of diagnosing and managing a Meckel diverticulum relates to the severity of gastrointestinal (GI) bleeding, if present. Hemodynamically compromising bleeding will require more emergent attention with possible surgical resection. A more indolent presentation characterized by abdominal pain of unclear etiology will often be evaluated over the course of weeks to months.

Codes

ICD10CM:
Q43.0 – Meckel's diverticulum (displaced) (hypertrophic)

SNOMEDCT:
37373007 – Meckel's Diverticulum

Look For

Subscription Required

Diagnostic Pearls

Subscription Required

Differential Diagnosis & Pitfalls

To perform a comparison, select diagnoses from the classic differential

Subscription Required

Best Tests

Subscription Required

Management Pearls

Subscription Required

Therapy

Subscription Required

References

Subscription Required

Last Reviewed:05/23/2017
Last Updated:05/23/2017
Copyright © 2025 VisualDx®. All rights reserved.
Meckel diverticulum
A medical illustration showing key findings of Meckel diverticulum : Abdominal mass, Decreased bowel sounds, Hematochezia, Hemoccult positive stool, RLQ pain
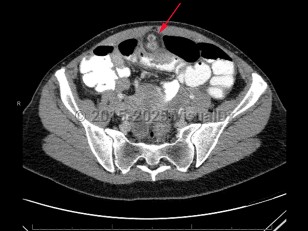
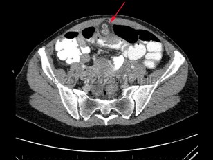
Imaging Studies image of Meckel diverticulum - imageId=7879679. Click to open in gallery.  caption: '<span>CT scan of abdomen and pelvis demonstrating enhancing nodular focus extending from ileum, which was pathology-proven Meckel diverticulitis.</span>'
CT scan of abdomen and pelvis demonstrating enhancing nodular focus extending from ileum, which was pathology-proven Meckel diverticulitis.
Copyright © 2025 VisualDx®. All rights reserved.