Arteriovenous fistula
Alerts and Notices
Important News & Links
Synopsis
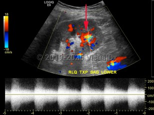
An arteriovenous fistula is an abnormal connection between arteries and veins that may be congenital, surgically induced for hemodialysis or as a rare complication from cardiac catheterization, or acquired from traumatic penetrating injury, infection, or malignancy. Congenital arteriovenous fistulas in the brain may be associated with abnormalities of the vein of Galen. Acquired forms typically occur in lower extremities, and, with long-standing fistulas, symptoms of edema and limb ischemia can occur. Many fistulas repair spontaneously and only require observation, but surgical repair or ultrasound-guided compression is indicated for symptomatic patients.
Codes
ICD10CM:
I77.0 – Arteriovenous fistula, acquired
SNOMEDCT:
439470001 – Arteriovenous fistula
I77.0 – Arteriovenous fistula, acquired
SNOMEDCT:
439470001 – Arteriovenous fistula
Differential Diagnosis & Pitfalls
To perform a comparison, select diagnoses from the classic differential
Subscription Required
Best Tests
Subscription Required
Management Pearls
Subscription Required
References
Subscription Required
Last Updated:10/20/2020
Arteriovenous fistula
