Herpes simplex virus pneumonia - Pulmonary
Alerts and Notices
Important News & Links
Synopsis
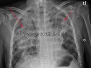
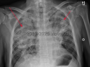
Herpes simplex pneumonia (HSP), or tracheobronchial infection, occurs when the respiratory tract is infected with the herpes simplex virus (HSV). HSP typically occurs in immunosuppressed patients such as those who are neutropenic from chemotherapy, immunosuppressed following organ transplantation, or are immunocompromised from HIV/AIDS or other immunodeficiency diseases. HSP has also been reported in patients who are not immunosuppressed. In most instances, infections were related to other risk factors such as smoke inhalation, recent major surgery, coexisting bacterial pneumonia, or airway injury from intubation. HSP is reported in all ages from infants and children to extreme old age.
Symptoms of HSP include dyspnea, fever, and nonproductive cough. Symptoms can be mild to severe; some patients can have a smoldering course with minimal fever. HSP is treatable with acyclovir but can be life threatening.
Related topic: community-acquired pneumonia
Symptoms of HSP include dyspnea, fever, and nonproductive cough. Symptoms can be mild to severe; some patients can have a smoldering course with minimal fever. HSP is treatable with acyclovir but can be life threatening.
Related topic: community-acquired pneumonia
Codes
ICD10CM:
J17 – Pneumonia in diseases classified elsewhere
SNOMEDCT:
233624006 – Herpes simplex pneumonia
J17 – Pneumonia in diseases classified elsewhere
SNOMEDCT:
233624006 – Herpes simplex pneumonia
Look For
Subscription Required
Diagnostic Pearls
Subscription Required
Differential Diagnosis & Pitfalls
To perform a comparison, select diagnoses from the classic differential
Subscription Required
Best Tests
Subscription Required
Management Pearls
Subscription Required
Therapy
Subscription Required
References
Subscription Required
Last Updated:12/01/2020
Herpes simplex virus pneumonia - Pulmonary
