Contents

SynopsisCodesLook ForDiagnostic PearlsDifferential Diagnosis & PitfallsBest TestsManagement PearlsTherapyReferences

View all Images (6)

Medulloblastoma in Adult
Other Resources UpToDate PubMed

Medulloblastoma in Adult

Contributors: Andrea Wasilewski MD, Jamie Adams MD, Richard L. Barbano MD, PhD
Other Resources UpToDate PubMed

Synopsis

A medulloblastoma is a malignant primary brain tumor located in the posterior fossa near the fourth ventricle. It is the most common malignant brain tumor in children. One-third of cases present in children aged younger than 3 years. In adults, the tumor usually presents before age 40.

Initial symptoms may relate to increased intracranial pressure as a consequence of blockage of the fourth ventricle, causing morning headache, nausea / vomiting, and irritability. Later, patients can develop ataxia, frequent falls, papilledema, diplopia, nystagmus, and/or neck stiffness.

This tumor may spread through the cerebrospinal fluid (CSF) to other parts of the brain and spinal cord. It is an aggressive tumor and recurrence is common. Five-year survival rates are about 60% in all age groups. Patients with medulloblastoma are considered higher risk if they present as infants or at an older age, have metastatic disease, and if their tumors have aggressive histopathology or specific molecular markers.

Patients with medulloblastoma should have a physical examination and family history taken to rule out basal cell nevus syndrome.

Codes

ICD10CM:
C71.6 – Malignant neoplasm of cerebellum

SNOMEDCT:
443333004 – Medulloblastoma

Look For

Subscription Required

Diagnostic Pearls

Subscription Required

Differential Diagnosis & Pitfalls

To perform a comparison, select diagnoses from the classic differential

Subscription Required

Best Tests

Subscription Required

Management Pearls

Subscription Required

Therapy

Subscription Required

References

Subscription Required

Last Reviewed:08/28/2018
Last Updated:05/31/2022
Copyright © 2025 VisualDx®. All rights reserved.
Medulloblastoma in Adult
A medical illustration showing key findings of Medulloblastoma : Altered mental state, Headache, Nausea/vomiting, Ataxia, Diplopia, Gait disturbance, Nystagmus
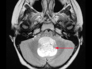
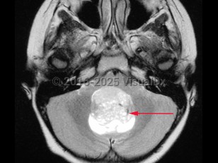
Imaging Studies image of Medulloblastoma - imageId=8343471. Click to open in gallery.  caption: '<span>Axial MRI demonstrating hyperintense medulloblastoma in the posterior fossa in a pediatric patient.</span>'
Axial MRI demonstrating hyperintense medulloblastoma in the posterior fossa in a pediatric patient.
Copyright © 2025 VisualDx®. All rights reserved.