Contents

SynopsisCodesLook ForDiagnostic PearlsDifferential Diagnosis & PitfallsBest TestsManagement PearlsTherapyReferences

View all Images (4)

Respiratory syncytial virus infection in Adult
Other Resources UpToDate PubMed

Respiratory syncytial virus infection in Adult

Contributors: Maheen Abidi MD, William Bonnez MD, James H. Willig MD, MSPH, Eric Ingerowski MD, FAAP
Other Resources UpToDate PubMed

Synopsis

Respiratory syncytial virus (RSV) is a single-stranded negative-sense RNA enveloped virus. Infections are ubiquitous in nature, and the virus causes seasonal outbreaks throughout the world. Typically, these occur in the northern hemisphere from November to April, with a peak in January or February. In the southern hemisphere, epidemics take place from May to September, with a peak in May, June, or July. RSV infection is so common that most children in the United States have been infected with it by age 2 years.

Transmission occurs after contact with fomites or secretions containing the virus, with primary sites of inoculation being the nasopharyngeal passages and the ocular mucous membranes. While direct contact is known to be the most common mode of transmission, large aerosol droplets have also been implicated. Hand washing and contact precautions are important infection control measures to prevent nosocomial transmission, as the virus can survive for several hours on hands and fomites. Disease incubation usually takes 4-6 days.

RSV causes acute respiratory tract illness in both immunocompetent and immunocompromised hosts irrespective of age. It is the most common cause of acute upper respiratory tract infection (URTI) and lower respiratory tract infection (LRTI) in childhood. Disease severity, including mortality rate, is highest in hematopoietic stem cell transplant (HSCT) recipients; the estimated mortality rate in treated and untreated individuals with stem cell transplant is around 60%. The risk is known to be especially high during the engraftment period. For solid organ transplant (SOT) recipients, the risk is intermediate between those of immunocompetent hosts and HSCT recipients. However, a study of SOT recipients showed that despite a high rate of hospitalization and ICU care, RSV-related mortality was not as high as once reported (up to 33% in lung transplant recipients).

This viral illness may manifest differently depending on patient age, health status, and whether this is a primary infection or a secondary one. RSV symptoms in most patients are mild and consist of nasal congestion, rhinorrhea, sneezing, decreased oral intake, cough, and sometimes a fever. In younger patients, RSV may cause bronchiolitis (inflammation of the small airways in the lungs) or a viral pneumonia that presents with runny nose, irritability, wheezing, increased work of breathing, and hypoxemia. In very young infants, apnea may be one of the first presenting symptoms. RSV may also present as a croup-like illness with a barky cough and stridor. Among infants and young children with primary infection, the disease may present as LRTI with bronchiolitis or pneumonia. In 20% of infants presenting to the hospital, apnea may be the presenting symptom. Apnea is more likely to be seen in premature infants and in those with severe hypoxemia. Older children and adults are more likely to present with symptoms of URTI or tracheobronchitis. RSV is also known to be an important factor leading to acute otitis media in young children with bronchiolitis. However, in elderly or immunocompromised adults, these conditions may progress to a severe LRTI. In a study of adult SOT recipients, the most common symptoms were fever, cough, and dyspnea. Less common symptoms included rhinorrhea and wheezing. 

Patients at risk for developing RSV-related LRTI are: 
  • Infants younger than 6 months of age, particularly those who are born during the first half of the RSV season and those attending daycare
  • Infants and children with underlying lung disease, such as bronchopulmonary dysplasia
  • Infants born before 35 weeks of gestation
  • Infants and children with congenital heart disease
  • Infants exposed to secondhand smoke
  • Immunocompromised patients (eg, individuals with severe combined immunodeficiency, leukemia, or bone marrow or lung transplant)
  • Patients of any age group with significant asthma
  • Adults with cardiopulmonary disease
  • Elderly patients with chronic obstructive pulmonary disease (COPD)

Codes

ICD10CM:
B97.4 – Respiratory syncytial virus as the cause of diseases classified elsewhere

SNOMEDCT:
55735004 – Respiratory syncytial virus infection

Look For

Subscription Required

Diagnostic Pearls

Subscription Required

Differential Diagnosis & Pitfalls

To perform a comparison, select diagnoses from the classic differential

Subscription Required

Best Tests

Subscription Required

Management Pearls

Subscription Required

Therapy

Subscription Required

References

Subscription Required

Last Reviewed:10/25/2022
Last Updated:11/13/2022
Copyright © 2025 VisualDx®. All rights reserved.
Respiratory syncytial virus infection in Adult
A medical illustration showing key findings of Respiratory syncytial virus infection (Infant) : Cough, Fever, Apnea, Rhinorrhea
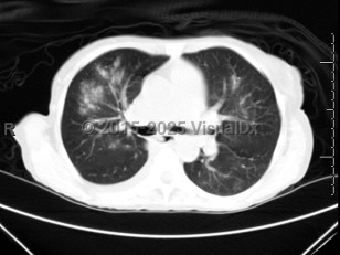
Imaging Studies image of Respiratory syncytial virus infection - imageId=6839039. Click to open in gallery.  caption: '<span>Axial CT image demonstrates bilateral (right worse than left) ground glass opacities with centrilobular nodules. Patient was positive for RSV.</span>'
Axial CT image demonstrates bilateral (right worse than left) ground glass opacities with centrilobular nodules. Patient was positive for RSV.
Copyright © 2025 VisualDx®. All rights reserved.