Contents

SynopsisCodesLook ForDiagnostic PearlsDifferential Diagnosis & PitfallsBest TestsManagement PearlsTherapyDrug Reaction DataReferences

View all Images (10)

Potentially life-threatening emergency
Aortic dissection
Other Resources UpToDate PubMed
Potentially life-threatening emergency

Aortic dissection

Contributors: Corey J. Wasilnak MD, Benjamin L. Mazer MD, MBA, Ryan Hoefen MD, PhD, Bruce Lo MD
Other Resources UpToDate PubMed

Synopsis

Emergent Care / Stabilization:
If suspicion is high, based on history of present illness (HPI), examination, and/or patient history:
  • Assess vital signs.
  • Establish reliable intravenous (IV) access.
  • Blood pressure and heart rate control.
  • Analgesia.
  • CT angiogram of chest / abdomen / pelvis.
  • Expedited consultation with vascular specialist.
Diagnosis Overview:
Aortic dissection is an intramural tear of the aorta. Aortic dissection is a life-threatening emergency. Tears often occur in the intimal layer of the aorta, with blood collecting in the medial layer. Back pain is the common presenting symptom, but it may also present with chest pain, dyspnea, or a new neurologic deficit. Syncope and hypotension occur less frequently. Aortic dissections most often occur in older men.

Aortic dissection can arise from several etiologies:
  • Blunt trauma to chest / abdomen
  • Chronic hypertension or hypertensive emergency
  • Aortic atherosclerosis
  • Sympathomimetic abuse / intoxication (eg, cocaine)
  • Connective tissue disease (eg, Marfan syndrome)
  • Acute increase in intrathoracic / intraabdominal pressure (eg, weight lifting, labor)
  • Recent aortic instrumentation / procedure
  • Genetic aortopathy
  • Aortic aneurysm dissection (less common)
The Stanford classification system is commonly used to differentiate types of aortic dissection based on anatomical location:
  • Type A – dissection involving ascending aorta
  • Type B – dissection that does not involve ascending aorta (ie, aortic arch and descending aorta)
The DeBakey classification (less commonly used):
  • DeBakey I – ascending and descending
  • DeBakey II – ascending only
  • DeBakey III – descending only
Beta blockers are the primary medical treatment. Surgical intervention is indicated for many types of aortic dissection. Even with appropriate treatment, mortality from aortic dissection is relatively high.

Related topic: cystic medial necrosis

Codes

ICD10CM:
I71.010 – Dissection of ascending aorta

SNOMEDCT:
308546005 – Dissection of aorta

Look For

Subscription Required

Diagnostic Pearls

Subscription Required

Differential Diagnosis & Pitfalls

To perform a comparison, select diagnoses from the classic differential

Subscription Required

Best Tests

Subscription Required

Management Pearls

Subscription Required

Therapy

Subscription Required

Drug Reaction Data

Subscription Required

References

Subscription Required

Last Reviewed:08/16/2022
Last Updated:09/15/2025
Copyright © 2025 VisualDx®. All rights reserved.
Potentially life-threatening emergency
Aortic dissection
A medical illustration showing key findings of Aortic dissection : Abdominal pain, Chest pain
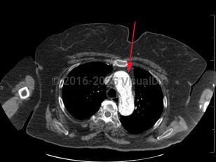
Imaging Studies image of Aortic dissection - imageId=8357567. Click to open in gallery.  caption: '<span>Axial image from CT scan of the chest demonstrating dissection of the thoracic aorta. This is a type A dissection involving the ascending and descending thoracic aorta.</span>'
Axial image from CT scan of the chest demonstrating dissection of the thoracic aorta. This is a type A dissection involving the ascending and descending thoracic aorta.
Copyright © 2025 VisualDx®. All rights reserved.