Contents

SynopsisCodesLook ForDiagnostic PearlsDifferential Diagnosis & PitfallsBest TestsManagement PearlsTherapyReferences

View all Images (6)

Perinephric abscess
Other Resources UpToDate PubMed

Perinephric abscess

Contributors: Anawin Sanguankeo MD, Sikarin Upala MD, Neil Mendoza MD, Paritosh Prasad MD
Other Resources UpToDate PubMed

Synopsis

A perinephric abscess is a collection of suppurative material in the perinephric space between the renal capsule and Gerota fascia. This condition is an uncommon complication of urinary tract infections, with incidence ranging from 1 to 10 cases for every 10 000 hospital admissions. Risk factors include diabetes mellitus (type 1, type 2) and renal stones.

In the past, mortality rates were about 50% without treatment. In more recent reports, there was a significant improvement in mortality rate to less than 15%. This is due to more accurate diagnosis and treatment using percutaneous drainage, more effective antibiotics, and better supportive care.

Perinephric abscesses can be the consequence of pyonephrosis due to an obstruction nephrolith, recurrent pyelonephritis, or the rupture of a corticomedullary intra-nephric abscess. Perinephric abscess can also result from the spread of infection from extraperitoneal sites via hematogenous dissemination or from infection from adjacent structures such as the bowel, pancreas, and spine.

Escherichia coli is the most common etiologic organism in perinephric abscess. Proteus mirabilis commonly causes infective calculi. Other bacteria that can cause this infection include Staphylococcus aureus, Klebsiella, Enterobacter, Pseudomonas, Serratia, and Citrobacter species. Some infections may be polymicrobial. Enteric gram-negative organisms are common pathogens in the case of local extension, and gram-positive cocci in the case of hematogenous spread.

The clinical presentation is usually characterized by the insidious onset of fever, flank or abdominal pain, fatigue, and weight loss. Physical findings include flank or costovertebral tenderness. A palpable mass may be present in some cases.

Related topic: Renal Abscess

Codes

ICD10CM:
N15.1 – Renal and perinephric abscess

SNOMEDCT:
80640009 – Perinephric abscess

Look For

Subscription Required

Diagnostic Pearls

Subscription Required

Differential Diagnosis & Pitfalls

To perform a comparison, select diagnoses from the classic differential

Subscription Required

Best Tests

Subscription Required

Management Pearls

Subscription Required

Therapy

Subscription Required

References

Subscription Required

Last Updated:03/29/2017
Copyright © 2025 VisualDx®. All rights reserved.
Perinephric abscess
A medical illustration showing key findings of Perinephric abscess : Fever, Flank pain, CRP elevated, ESR elevated, CVA tenderness
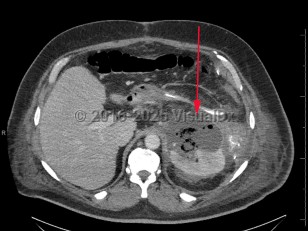
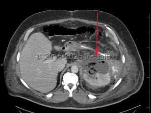
Imaging Studies image of Perinephric abscess - imageId=8360654. Click to open in gallery.  caption: '<span>Axial image from enhanced CT scan of the abdomen and pelvis with a complex left perirenal fluid collection with air, consistent with a perinephric abscess.</span>'
Axial image from enhanced CT scan of the abdomen and pelvis with a complex left perirenal fluid collection with air, consistent with a perinephric abscess.
Copyright © 2025 VisualDx®. All rights reserved.