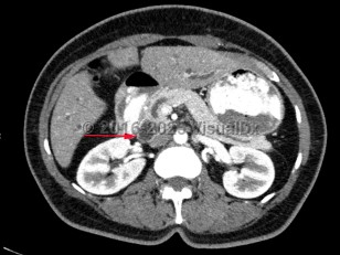
Carcinoma of the ampulla of Vater encompasses tumors that arise from within the ampullary complex (duodenal aspect of sphincter of Oddi, distal common bile duct [CBD], distal pancreatic duct, and papilla of Vater). These tumors often arise as part of a genetic syndrome, most commonly familial adenomatous polyposis (FAP) or hereditary nonpolyposis colorectal cancer (HNPCC), which tends to occur in a younger population. Patients with FAP require screening for duodenal adenomas including ampullary adenomas at the onset of colonic polyps or around age 25. Sporadic ampullary carcinomas typically occur around age 60-70.
Histologically, ampullary carcinomas can be divided into intestinal or pancreaticobiliary in origin. The intestinal type is more prevalent and is linked to mutations in KRAS and COX-2. Patients with intestinal-type ampullary carcinoma have a better prognosis. Painless jaundice (Courvoisier sign) is the most common clinical manifestation of ampullary carcinoma. This is caused by mechanical compression of the distal CBD by tumor. The remainder of patients can present with iron deficiency anemia or occult gastrointestinal tract bleeding. Silver stool may occur. More vague symptoms such as abdominal pain, nausea, fever, and dyspepsia can also occur.
The diagnosis is made with tissue biopsy. These tumors are staged using the T (tumor), N (lymph node), and M (metastasis) classification. Prognosis is dependent on tumor stage and histologic type. The 5-year survival for stage 1 disease is 84%; stage 2 is 70%; stage 3 is 27%; and stage 4 is 0%.
Carcinoma of the ampulla of Vater
Alerts and Notices
Important News & Links
Synopsis
Codes
ICD10CM:
C24.1 – Malignant neoplasm of ampulla of Vater
SNOMEDCT:
254609000 – Carcinoma of the Ampulla of Vater
C24.1 – Malignant neoplasm of ampulla of Vater
SNOMEDCT:
254609000 – Carcinoma of the Ampulla of Vater
Look For
Subscription Required
Diagnostic Pearls
Subscription Required
Differential Diagnosis & Pitfalls
To perform a comparison, select diagnoses from the classic differential
Subscription Required
Best Tests
Subscription Required
Management Pearls
Subscription Required
Therapy
Subscription Required
References
Subscription Required
Last Reviewed:05/20/2018
Last Updated:07/20/2020
Last Updated:07/20/2020
Carcinoma of the ampulla of Vater
