Contents

SynopsisCodesLook ForDiagnostic PearlsDifferential Diagnosis & PitfallsBest TestsManagement PearlsTherapyReferences

View all Images (4)

Gallbladder carcinoma
Other Resources UpToDate PubMed

Gallbladder carcinoma

Contributors: Jennifer J. Findeis-Hosey MD
Other Resources UpToDate PubMed

Synopsis

Gallbladder cancer is rare in the United States, with 1-2 cases per 100 000 population. It is most common in patients in their sixth to seventh decade, with a female predominance. In the United States, it is most common in individuals of Hispanic and American Indian descent. Risk factors for development of gallbladder cancer are related to chronic gallbladder inflammation and include gallstone disease, porcelain gallbladder, gallbladder polyps, abnormalities in the choledochopancreatic junction, and chronic infections with Salmonella typhi and Helicobacter pylori.

Gallbladder cancer is often diagnosed in the following ways: malignancy found at the time of cholecystectomy, malignancy incidentally diagnosed on pathologic examination after simple cholecystectomy (approximately 50% of patients), malignancy suspected preoperatively because of symptoms, and malignancy found incidentally on imaging performed for another purpose.

Patients may be asymptomatic at the time of presentation or demonstrate nonspecific findings, including right upper quadrant pain. They may have typical symptoms of cholelithiasis in early disease or with advanced disease, and may present with anorexia, weight loss, and vomiting. Ninety percent of gallbladder neoplasms are adenocarcinoma with the remainder adenosquamous, squamous cell carcinoma, small cell neuroendocrine tumors, lymphoma, and sarcoma. Papillary carcinomas have the most favorable prognosis while adenocarcinomas may extend outside of the gallbladder and invade the liver as they grow. Prognosis is dependent on histologic type and the extent of invasive carcinomatous disease.

Codes

ICD10CM:
C23 – Malignant neoplasm of gallbladder

SNOMEDCT:
372140005 – Carcinoma of gallbladder

Look For

Subscription Required

Diagnostic Pearls

Subscription Required

Differential Diagnosis & Pitfalls

To perform a comparison, select diagnoses from the classic differential

Subscription Required

Best Tests

Subscription Required

Management Pearls

Subscription Required

Therapy

Subscription Required

References

Subscription Required

Last Reviewed:12/12/2017
Last Updated:08/20/2025
Copyright © 2025 VisualDx®. All rights reserved.
Gallbladder carcinoma
A medical illustration showing key findings of Gallbladder carcinoma : Jaundice, Nausea, Vomiting, Anorexia, RUQ pain
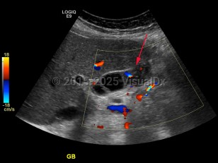
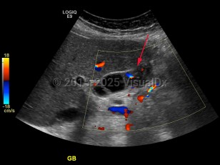
Imaging Studies image of Gallbladder carcinoma - imageId=7884800. Click to open in gallery.  caption: 'Ultrasound with color Doppler demonstrating mass within the gallbladder with internal vascularity.'
Ultrasound with color Doppler demonstrating mass within the gallbladder with internal vascularity.
Copyright © 2025 VisualDx®. All rights reserved.