Contents

SynopsisCodesDifferential Diagnosis & PitfallsBest TestsDrug Reaction DataReferences

View all Images (23)

Avascular necrosis
Other Resources UpToDate PubMed

Avascular necrosis

Contributors: Michael W. Winter MD
Other Resources UpToDate PubMed

Synopsis

Avascular necrosis (osteonecrosis) is characterized by tissue death due to reduction or loss of blood supply to a bone. Causes include joint or bone trauma, fatty deposits in blood vessels, corticosteroid use, alcohol abuse, and some diseases. Other risk factors are chemotherapy, radiation therapy, and organ transplantation. May occur at any age, but most commonly occurs in adults aged 30-60. Patients are typically asymptomatic early on, but most experience joint pain increasing in severity as the disease develops. The femoral head site is most commonly affected, but the humeral head site, femoral condyles, and small bones are also sites of common occurrence. Typically, clinical presentation consists of sudden onset of pain in the joint.

The goal of treatment is to prevent further joint and bone damage. To help determine the most appropriate treatment (surgical or nonsurgical), the following factors must be taken into account: patient age, stage of disease, affected location, and underlying cause of osteonecrosis.

Related topics: avascular necrosis of knee, avascular necrosis of scaphoid, Köhler disease, osteonecrosis of the femoral heads, osteonecrosis of the humeral heads, progressive avascular necrosis of lunate

Codes

ICD10CM:
M87.00 – Idiopathic aseptic necrosis of unspecified bone

SNOMEDCT:
86217007 – Avascular necrosis

Differential Diagnosis & Pitfalls

To perform a comparison, select diagnoses from the classic differential

Subscription Required

Best Tests

Subscription Required

Drug Reaction Data

Subscription Required

References

Subscription Required

Last Updated:07/07/2025
Copyright © 2025 VisualDx®. All rights reserved.
Avascular necrosis
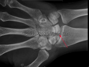
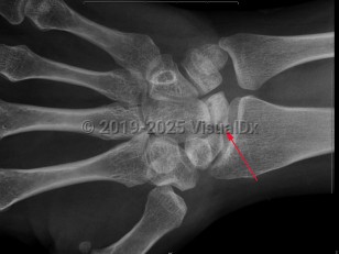
Imaging Studies image of Avascular necrosis - imageId=7924537. Click to open in gallery.  caption: '<span>Sclerosis and mild fragmentation of the lunate, compatible with Kienböck disease (avascular necrosis of the lunate).</span>'
Sclerosis and mild fragmentation of the lunate, compatible with Kienböck disease (avascular necrosis of the lunate).
Copyright © 2025 VisualDx®. All rights reserved.