Contents

SynopsisCodesLook ForDiagnostic PearlsDifferential Diagnosis & PitfallsBest TestsManagement PearlsTherapyDrug Reaction DataReferences

Information for Patients

View all Images (14)

Achilles tendonitis
Other Resources UpToDate PubMed

Achilles tendonitis

Contributors: Robert Lachky MD, Eric Ingerowski MD, FAAP
Other Resources UpToDate PubMed

Synopsis

Achilles tendonitis (or tendinitis) is an injury that describes inflammation and/or degeneration of the Achilles tendon. Patients typically present with posterior heel pain, swelling, burning, warmth, and/or stiffness.

Achilles tendinosis / tendinopathy is tendon thickening in the region approximately 2-6 cm proximal to tendon insertion and is thought to be caused by poor blood supply and anaerobic degeneration of the cartilage.

Insertional Achilles tendonitis is pain and tendon thickening at insertion of the Achilles tendon, wherein repetitive trauma leads to inflammation followed by cartilaginous, bony metaplasia.

Haglund deformity is enlargement of the posterosuperior tuberosity of calcaneus. Retrocalcaneal bursitis is inflammation of the space between the anterior aspect of Achilles tendon and posterior aspect of calcaneus.

Middle-aged or elderly patients are more likely to present with insertional Achilles tendonitis. Young, active patients are more likely to present with Haglund deformity or retrocalcaneal bursitis, which are often components of Achilles tendonitis.

Predisposing factors include overuse, imbalance of dorsiflexors / plantar flexors, use of fluoroquinolones, genetic predisposition, history of an inflammatory arthropathy (eg, gout), and poor tendon blood supply.

In addition to heel pain, history and physical examination findings may include:
  • Pain that worsens with activity, running
  • Shoe wear pain due to direct pressure
  • Pain with palpation (at insertion site of Achilles tendon if insertional tendonitis; there may be more fullness off to sides of tendon if retrocalcaneal bursitis and more proximal if Achilles tendinopathy)
  • Bony prominence at Achilles insertion
Related topic: posterior heel pain

Codes

ICD10CM:
M76.60 – Achilles tendinitis, unspecified leg

SNOMEDCT:
11654001 – Achilles tendinitis

Look For

Subscription Required

Diagnostic Pearls

Subscription Required

Differential Diagnosis & Pitfalls

To perform a comparison, select diagnoses from the classic differential

Subscription Required

Best Tests

Subscription Required

Management Pearls

Subscription Required

Therapy

Subscription Required

Drug Reaction Data

Subscription Required

References

Subscription Required

Last Reviewed:03/20/2018
Last Updated:03/18/2024
Copyright © 2025 VisualDx®. All rights reserved.
Patient Information for Achilles tendonitis
Print E-Mail Images (14)
Contributors: Medical staff writer
Premium Feature
VisualDx Patient Handouts
Available in the Elite package
  • Improve treatment compliance
  • Reduce after-hours questions
  • Increase patient engagement and satisfaction
  • Written in clear, easy-to-understand language. No confusing jargon.
  • Available in English and Spanish
  • Print out or email directly to your patient
Copyright © 2025 VisualDx®. All rights reserved.
Achilles tendonitis
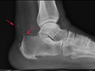
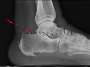
Imaging Studies image of Achilles tendonitis - imageId=7886591. Click to open in gallery.  caption: '<span>Achilles Tendonitis - rupture.  Lateral ankle radiograph demonstrates soft tissue thickening and  multiple, small dystrophic calcifications involving the distal Achilles  tendon compatible with chronic Achilles tendonitis. Note the presence of  a small bony bump along the posterosuperior calcaneus which may be the  early signs of a Haglund deformity.</span>'
Achilles Tendonitis - rupture. Lateral ankle radiograph demonstrates soft tissue thickening and multiple, small dystrophic calcifications involving the distal Achilles tendon compatible with chronic Achilles tendonitis. Note the presence of a small bony bump along the posterosuperior calcaneus which may be the early signs of a Haglund deformity.
Copyright © 2025 VisualDx®. All rights reserved.