Contents

SynopsisCodesLook ForDiagnostic PearlsDifferential Diagnosis & PitfallsBest TestsManagement PearlsTherapyDrug Reaction DataReferences

View all Images (4)

Renal cysts
Other Resources UpToDate PubMed

Renal cysts

Contributors: Abhijeet Waghray MD, Paritosh Prasad MD
Other Resources UpToDate PubMed

Synopsis

Renal cysts are abnormal fluid-filled sacs within the kidney that can occur at any age. Approximately 1 in every 3 adults over the age of 50 has a renal cyst, with a higher prevalence in males. Renal cysts can be characterized by morphology (simple versus complex), malignant potential (Bosniak classification), or etiology of cysts (congenital or acquired).

Simple renal cysts are common renal lesions (70%); the majority are benign, and further imaging is not required.  

The most common form of cystic renal disease is due to autosomal dominant polycystic kidney disease (PKD) and accounts for 8%-10% of all causes of end-stage renal disease. The develoment of renal cysts has also been associated with diuretic use as well as some medications.

The presentation of renal cysts varies based on the cause, and physical examination may reveal a palpable flank or abdominal mass. Radiographic findings of a thick irregular wall, thick septations, or multilocular findings are concerning for malignancy.

Codes

ICD10CM:
N28.1 – Cyst of kidney, acquired
Q61.00 – Congenital renal cyst, unspecified

SNOMEDCT:
722223000 – Cyst of kidney

Look For

Subscription Required

Diagnostic Pearls

Subscription Required

Differential Diagnosis & Pitfalls

To perform a comparison, select diagnoses from the classic differential

Subscription Required

Best Tests

Subscription Required

Management Pearls

Subscription Required

Therapy

Subscription Required

Drug Reaction Data

Subscription Required

References

Subscription Required

Last Reviewed:03/06/2018
Last Updated:04/18/2018
Copyright © 2025 VisualDx®. All rights reserved.
Renal cysts
A medical illustration showing key findings of Renal cysts : Flank pain, Abdominal mass, Hematuria, BP increased
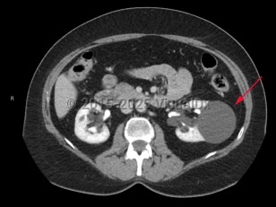
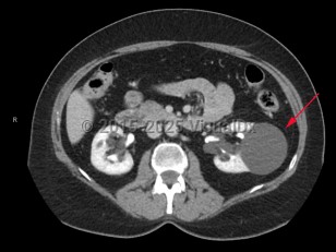
Imaging Studies image of Renal cysts - imageId=7885061. Click to open in gallery.  caption: '<span>Enhanced CT scan demonstrating left renal cyst.</span>'
Enhanced CT scan demonstrating left renal cyst.
Copyright © 2025 VisualDx®. All rights reserved.