Contents

SynopsisCodesLook ForDiagnostic PearlsDifferential Diagnosis & PitfallsBest TestsManagement PearlsTherapyReferences

View all Images (2)

Liver cancer
Other Resources UpToDate PubMed

Liver cancer

Contributors: Michael W. Winter MD, Paritosh Prasad MD
Other Resources UpToDate PubMed

Synopsis

Liver cancer refers to a malignancy that arises primarily within the liver. There are several types of liver cancers. Hepatocellular carcinoma, accounting for approximately 75% of primary liver cancers, is due to malignant transformation in hepatocytes. This is most commonly seen in patients with cirrhosis of any etiology (eg, chronic viral hepatitis, alcohol-related liver disease, nonalcoholic steatohepatitis). Cholangiocarcinoma is the second most common primary liver cancer, accounting for approximately 10%-20% of cases. This is a cancer of bile duct origin.

There are several rare types of liver cancer. Angiosarcoma and epithelioid hemangioendothelioma arise from mesenchymal cells. Intraductal papillary neoplasm and mucinous cystic neoplasm with invasive carcinoma arise from the bile ducts.

Hepatoblastoma is another primary liver malignancy arising from hepatocytes. This cancer is more common in children younger than 3 years old. It is associated with some genetic conditions, such as Beckwith-Wiedemann syndrome, Wilson disease, and familial adenomatous polyposis.

Many malignancies can metastasize to the liver. Frequently, patients with uveal melanoma may have liver metastases. In rare circumstances, lymphomas can present with primary manifestation in the liver.

Codes

ICD10CM:
C22.9 – Malignant neoplasm of liver, not specified as primary or secondary

SNOMEDCT:
93870000 – Malignant neoplasm of liver

Look For

Subscription Required

Diagnostic Pearls

Subscription Required

Differential Diagnosis & Pitfalls

To perform a comparison, select diagnoses from the classic differential

Subscription Required

Best Tests

Subscription Required

Management Pearls

Subscription Required

Therapy

Subscription Required

References

Subscription Required

Last Reviewed:03/27/2018
Last Updated:11/17/2021
Copyright © 2025 VisualDx®. All rights reserved.
Liver cancer
A medical illustration showing key findings of Liver cancer : Abdominal pain, Hepatomegaly, Abdominal distension, Ascites, Hepatic mass on ultrasound, RBC decreased
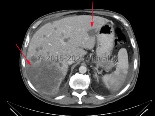
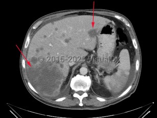
Imaging Studies image of Liver cancer - imageId=7884783. Click to open in gallery.  caption: '<span>Large low attenuation lesion in  the right lobe of the liver as well as several other smaller low  attenuation lesions consistent with metastatic disease to the liver.</span>'
Large low attenuation lesion in the right lobe of the liver as well as several other smaller low attenuation lesions consistent with metastatic disease to the liver.
Copyright © 2025 VisualDx®. All rights reserved.