Contents

SynopsisCodesLook ForDiagnostic PearlsDifferential Diagnosis & PitfallsBest TestsManagement PearlsTherapyReferences

View all Images (11)

Rib fracture
Other Resources UpToDate PubMed

Rib fracture

Contributors: Benjamin Thomas DO, John T. Finnell MD, Stephanie E. Siegrist MD
Other Resources UpToDate PubMed

Synopsis

Emergent Care / Stabilization:
  • Assess the patient's airway, breathing, circulation, and hemodynamic stability.
  • Rule out life-threatening emergencies such as tension pneumothorax, cardiac tamponade, or cardiogenic / hypovolemic shock.
  • Determine the mechanism of the patient's injury.
  • Complete a secondary survey of the patient to evaluate for additional injuries.
  • Obtain a chest x-ray to evaluate the location and severity of the patient's fractures.
  • Provide initial pain relief with acetaminophen or NSAIDs and advance as appropriate.
  • In the event of major trauma, obtain basic laboratory tests and imaging.
(See Best Tests, Management, and Therapy sections for further details.)

Causes / typical injury mechanism:
Rib fractures are a common injury of the thoracic cage. They may be traumatic or pathologic. Depending on the location and the number of ribs involved, be alert for possible visceral injuries, pulmonary contusions, pneumothorax, or vascular injury.

Classic history and presentation: The patient will likely have sustained blunt force trauma to the chest. Common signs and symptoms include chest tenderness or pain, decreased breath sounds, bony crepitus, pain on inspiration, dyspnea, and tachypnea.

In children, certain fractures should increase suspicion for nonaccidental trauma, including rib fractures, often in the context of a delay to seek medical care or inconsistencies in patient history.

Significant rib tenderness and pain without an obvious traumatic cause may be due to a stress fracture from repetitive motions (rowers typically in the 1-3 ribs) or a pathologic fracture from malignancy.

Depending on the location and number of fractured ribs, treatments include body repositioning, medication for pain and inflammation control, ventilation, and incentive spirometry.

Older adults and those with underlying cardiopulmonary disease require close monitoring for complications due to secretions, including atelectasis, hypoventilation, and pneumonia, as older adults have a 5 times higher risk of mortality with the development of pneumonia in the presence of rib fractures.

Risk factors:
  • Blunt or penetrating trauma to the chest
  • Motor vehicle accident
  • Falls from heights greater than 10 feet
  • Gunshot wounds to the chest
  • Contact sports injury
  • Other high-velocity mechanism injuries
  • Repetitive motions leading to stress fractures
  • Bony neoplasm in rib
Pathophysiology: The anterior portion of the ribs are cartilaginous and allow for some flexibility, but this force gets transferred to the lateral and posterior bony portions of the ribs. This excess stress on the more rigid portion of the ribs can lead to fracture. Ribs 4-9 are most commonly fractured, which can lead to significant complications due to their associated function in respiration with the intercostal, diaphragmatic, and serratus anterior muscle attachments.

Due to their proximity to the subclavian vessels and brachial plexus, upper rib fractures (ribs 1 and 2) can lead to neurovascular injury.

Fractures of the lower ribs (9-12) could indicate concomitant intraabdominal injury.

Grade / classification system:
Rib fractures are commonly described as:
  • Rib number(s), right or left
  • Acute or chronic with evidence of healing from a remote incident
  • Nondisplaced, > 2 mm displacement, comminuted, or flail chest
  • Presence or absence of visceral injury
Battle score for rib fractures in the ED (predicts mortality):
  • Age (1 point for every decade)
  • Number of rib fractures (3 points per rib)
  • Chronic lung disease (5 points)
  • Pre-injury anticoagulant use (4 points)
  • Oxygen saturation (2 points for every 5% decrease)
    • 0-10 points = 13% +/- 6%
    • 11-15 points = 29% +/- 8%
    • 16-20 points = 52% +/- 8%
    • 21-25 points = 70% +/- 6%
    • 26-30 points = 80% +/- 6%
    • 31+ points = 88% +/- 7%

Codes

ICD10CM:
S22.39XA – Fracture of one rib, unspecified side, initial encounter for closed fracture
S22.39XB – Fracture of one rib, unspecified side, initial encounter for open fracture

SNOMEDCT:
33737001 – Rib fracture

Look For

Subscription Required

Diagnostic Pearls

Subscription Required

Differential Diagnosis & Pitfalls

To perform a comparison, select diagnoses from the classic differential

Subscription Required

Best Tests

Subscription Required

Management Pearls

Subscription Required

Therapy

Subscription Required

References

Subscription Required

Last Reviewed:03/06/2024
Last Updated:04/10/2024
Copyright © 2025 VisualDx®. All rights reserved.
Rib fracture
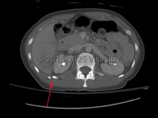
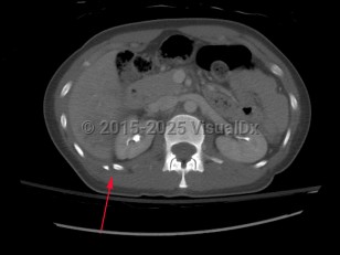
Imaging Studies image of Rib fracture - imageId=7885255. Click to open in gallery.  caption: '<span>CT scan of the chest in bone windows demonstrating fractures of the right 11th and 12th ribs.</span>'
CT scan of the chest in bone windows demonstrating fractures of the right 11th and 12th ribs.
Copyright © 2025 VisualDx®. All rights reserved.